
Orthodontist
Years of Experience
20+ years
Department
Dental Services
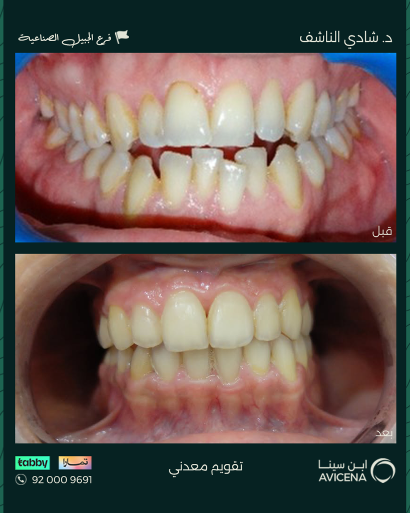
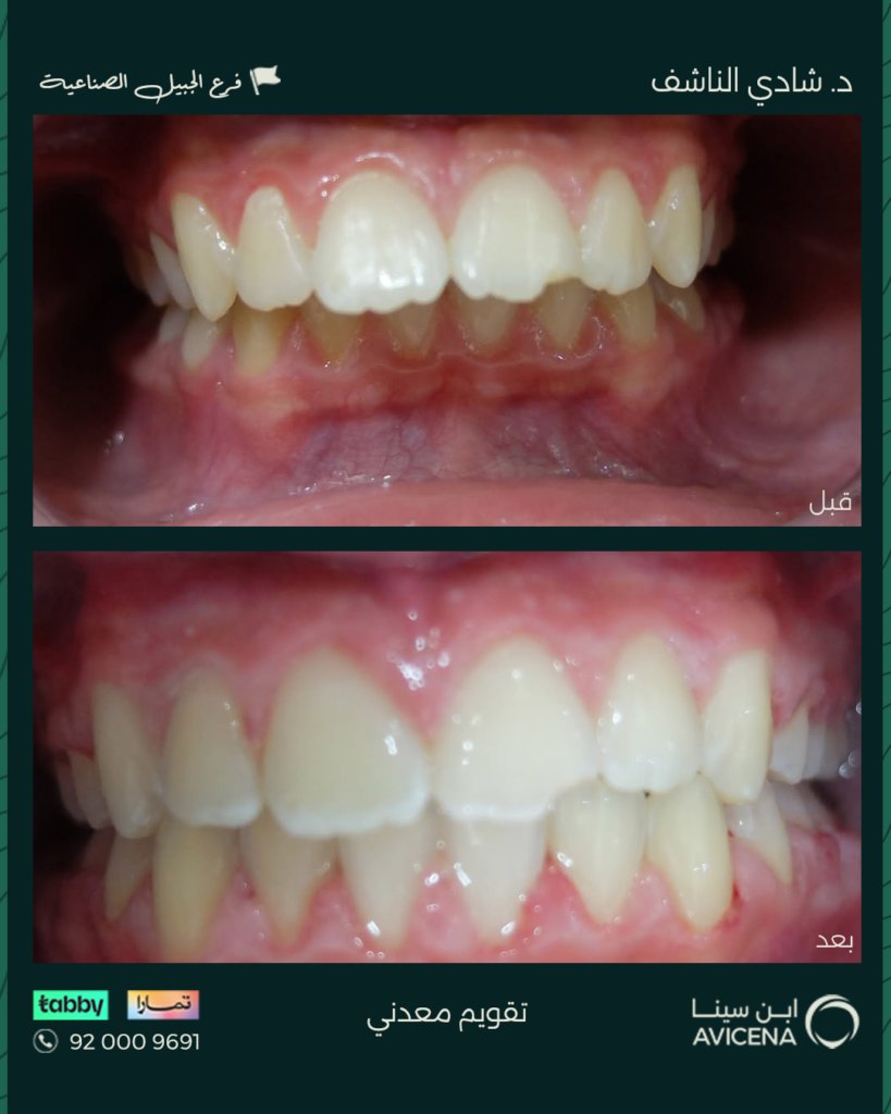
Fixed orthodontics (all types)
Insular braces
Movemental braces
Functional braces
Fixed orthodontics (Damon technology)
No more waiting worries — booking is now easier than ever.