dentist
Department
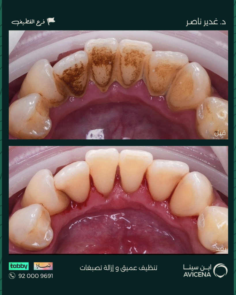
Dental Services
Teeth whitening and cleaning Children's dental treatment Dental fillings and implants Nerve and root canal treatment Teeth
No more waiting worries — booking is now easier than ever.
الإسم
رقم جوال
الفرع Select BranchAl QatifAl Rakah Al Janubiyah
الخدمة Select ServiceFillings & RestorationPediatric DentistryTeeth Cleaning & WhiteningDental ProstheticsRoot Canal TreatmentDental fillingsDental Cleaning ServiceTeeth Whitening
الرسالة (اختياري)