
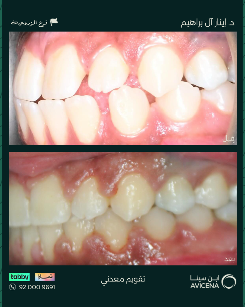
Senior Vice President of Orthodontics
Department
Dental Services
Dr. Ethar Basheer Al Ibrahim combines experience, precision, and exceptional care.
Don't postpone your dream of a healthy, attractive smile. Book your appointment now at the Al Mazrouiyah branch of Ibn Sina Clinics with one of the best Invisalign doctors in the Kingdom.
No more waiting worries — booking is now easier than ever.