dentist
Department
Dental Services
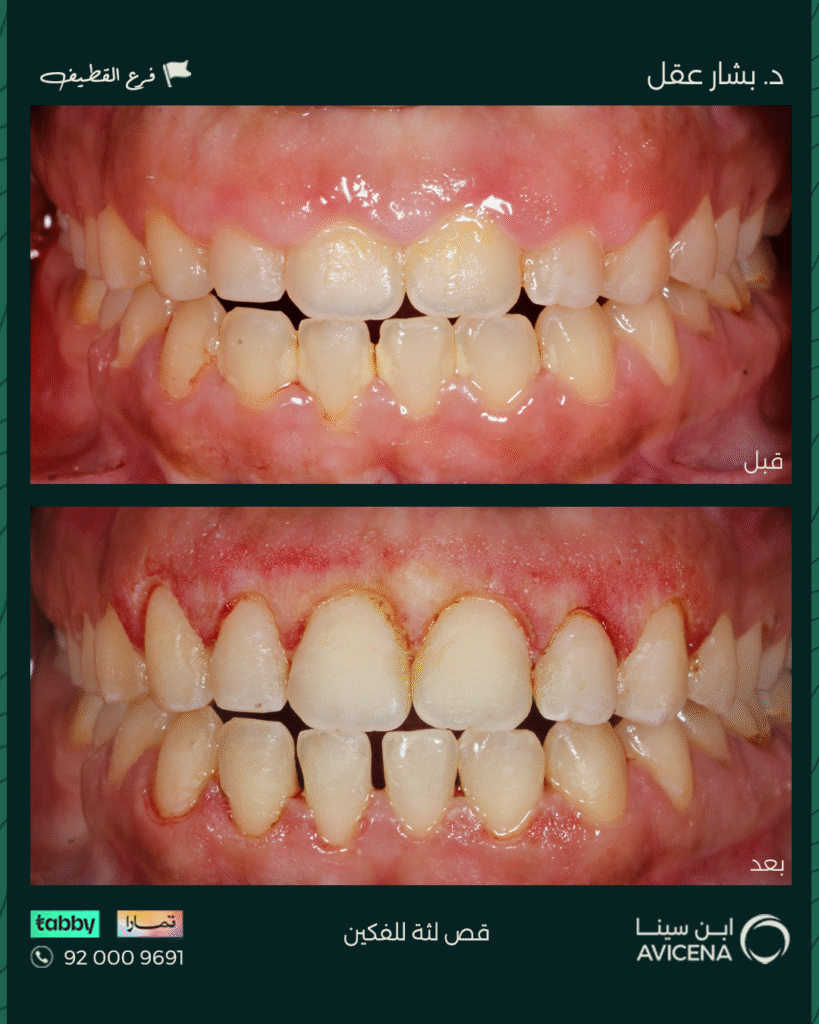
Smile makeover and design All types of dental treatments Cosmetic surgeries and pigment removal Gum laser treatment Gummy smile modification
No more waiting worries — booking is now easier than ever.
الإسم
رقم جوال
الفرع Select BranchAl Qatif
الخدمة Select ServiceGummy Smile TreatmentCosmetic Gum SurgeryDigital Smile DesignSmile & Cosmetic DesignGum treatmentCosmetic dentistry and smile designGum ContouringCosmetic DentistryDental Prosthetics
الرسالة (اختياري)