
Orthodontist
Years of Experience
8+ years
Department
Dental Services
Fixed orthodontic treatment of all types
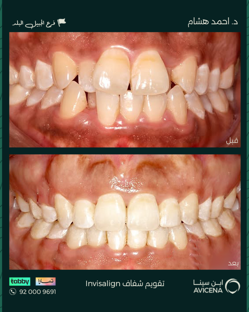
Clear aligners - Invisalign
Removable braces
Structural and functional orthodontics
Surgical orthodontics
No more waiting worries — booking is now easier than ever.