
Orthodontics, Facial and Jaw Orthopedics Specialist
Department
Dental Services
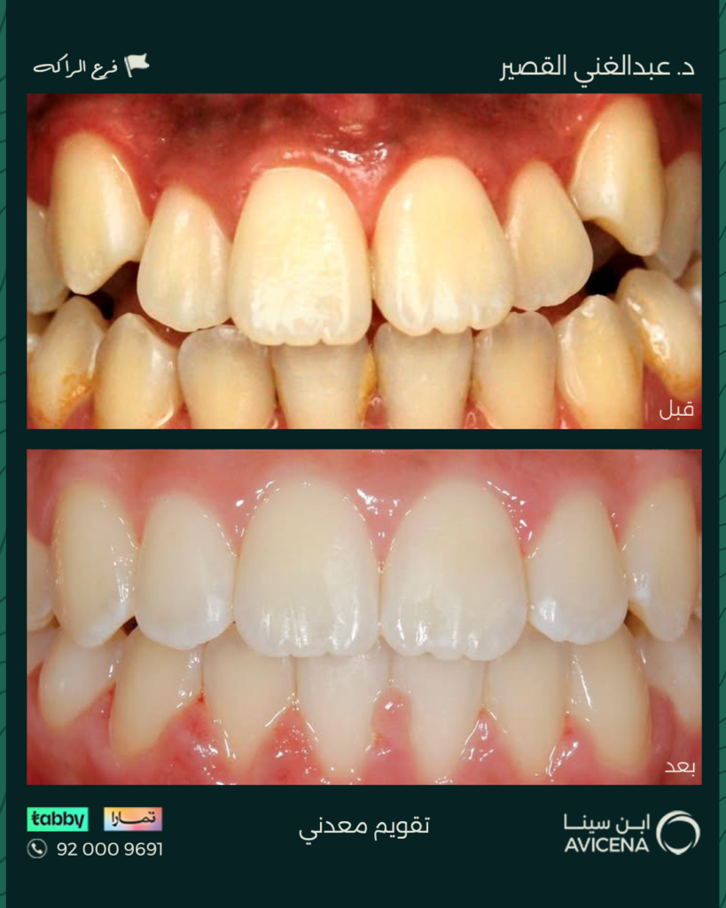
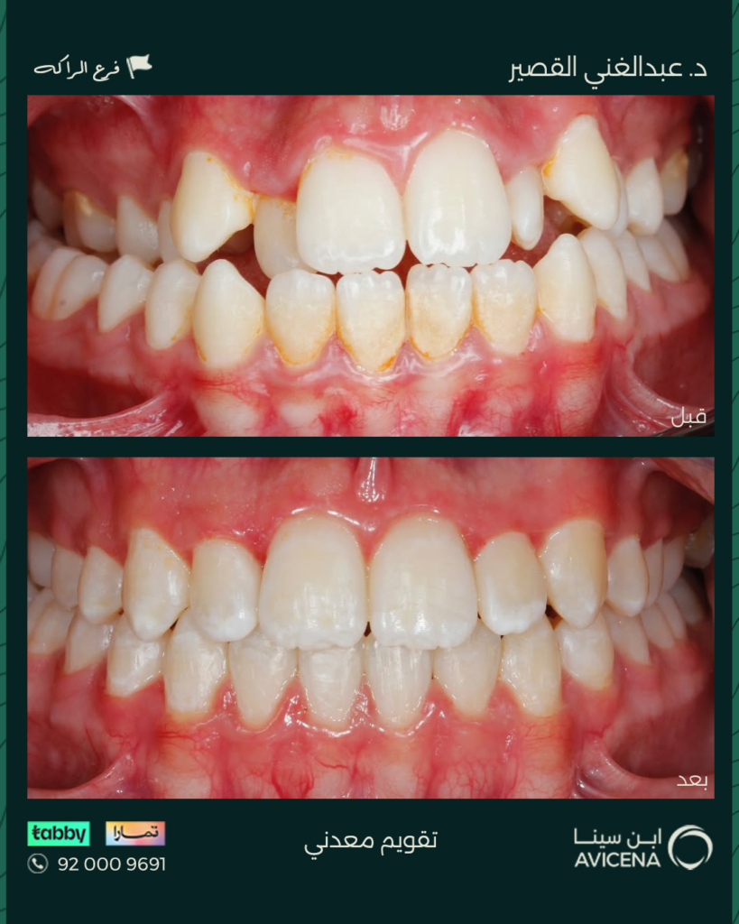
With Dr. Abdulghani Ziyad Al-Qasir, you won’t just get straighter teeth—you’ll achieve full facial and oral harmony. His global expertise and meticulous medical approach make him one of the best Invisalign orthodontists in the Kingdom.
No more waiting worries — booking is now easier than ever.